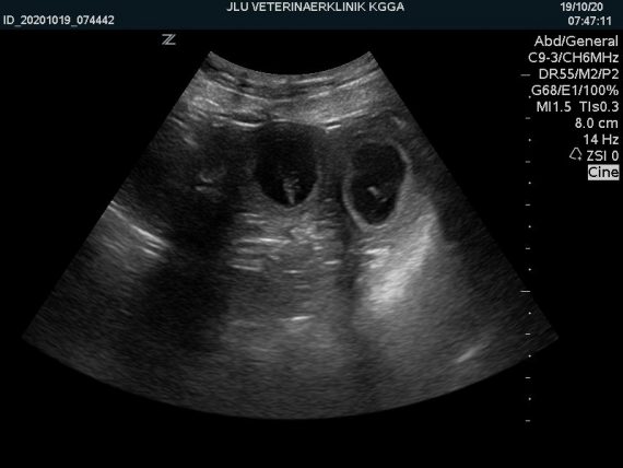
JA JA JA, Nachwuchs kommt
Tolle Nachrichten aus dem Haus ASKAARDIA Wie auf den Ultraschall-Bildern dokumentiert: Die Paarung unserer ASKANTI mit einem der besten Rüden der Welt LORD from the Dogsfarm hat wieder geklappt. ASKANTI hat aufgenommen und es ist Einiges an Nachwuchs zu erwarten! Wir freuen uns mit allen, die uns schon vorab zu dieser Paarung gratuliert haben, jetzt…

